9~12歳のお子様の
お母様へ

お口の成長が
ほぼ完成する時期です
永久歯がほぼ生えそろい、顎の成長が完了に近づいていく段階です。この時期には、永久歯が正しい位置に並ぶように調整を行うことで、見た目の改善だけでなく、正しい噛み合わせの獲得を目指します。当院では、インビザラインやプレオルソなどから、お子様のお口の状況に適した治療をご案内しています。さらに、MFT(口腔筋機能療法)を併用することで、舌や唇の筋力を整え、治療をより効果的に進めます。この時期の矯正は、将来の歯や顎関節の健康に直結します。お子様の健全な成長をサポートするために、気になることはお気軽にご相談ください。
このような症状はありませんか?
歯並びがガタガタ
前歯が出ている
下顎が出ている
歯の隙間が目立つ
噛み合わせのズレ
噛み合わせが深い
前歯が噛み合わない
治療方法

マウスピース矯正(インビザライン・ファースト)
お子様の矯正治療のために開発されたマウスピース型の矯正装置です。装置は透明の薄く柔らかい樹脂製なので、装着時の違和感や痛みが少なく、お口の中で目立ちにくいのがメリットです。食事や歯みがきの際は、簡単に取り外すことができます。
マウスピース型矯正装置(インビザライン)は薬機法の対象外です
01 未承認医療機器であること
インビザライン®は薬機法上対象外の医療機器です。
医療機器としての矯正装置に該当しないため薬機法上の承認を得ていません。
マウスピースに使用される材料そのものは薬事承認されておりますので、安全にご使用いただけます。
02 国内の承認医薬機器等の有無
マウスピース型矯正装置はインビザライン®の他にもさまざまな種類があります。その中には、条件を満たして薬事承認されているマウスピース型矯正装置も国内でいくつか存在しています。
03 諸外国における安全性等に係る情報
1998年にFDA(米国食品医薬品局)から医療機器として認証され、販売認可を受けています。
これまで1,500万人以上の患者さんに使用されておりますが、重篤な副作用の報告はありません。
04 入手経路等
インビザライン®は、米国アライン・テクノロジー社の製品です。
当院はインビザラインを用いた治療システムを、アライン・テクノロジー社のグループ会社である「アライン・テクノロジー・ジャパン株式会社」より入手しています。
05 医薬品副作用被害救済制度について
医薬品副作用被害救済制度について万が一重篤な副作用が出た場合は、国の医薬品副作用被害救済制度の対象外となります。

ワイヤー矯正
ブラケットと呼ばれる小さな器具を歯の表面につけ、ブラケットに通したワイヤーの力で歯を移動させる治療法です。歴史があり、幅広い症状に対応できることから、当院ではマウスピース矯正と併用する場合があります。ご希望により目立ちにくい透明のブラケットも使用可能です。
無料相談を
実施しています
歯並びが気になるなら
お気軽に無料相談をご利用ください
お子様は骨がまだ柔らかく、成人に比べてより少ない力、短い期間で歯を移動させることが可能です。将来、矯正治療が必要になりそうなら、治療の負担を軽減するためにも、早い時期に開始することをおすすめします。矯正治療についてのさまざまな疑問は、当院の無料相談をご利用ください。
無料相談でわかること
お口をチェック
治療費や
治療期間が
わかる
治療法があるか
教えてもらえる
治療を無理にすすめることは
ありません
お子様のお口の状態や治療法について知っていただくため、当院では無料相談を実施しています。矯正治療の即決を迫ったり、強く契約を強迫ったりすることはございませんので、どうぞお気軽にご利用ください。
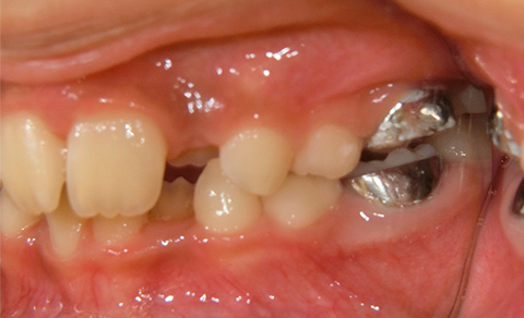
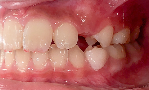
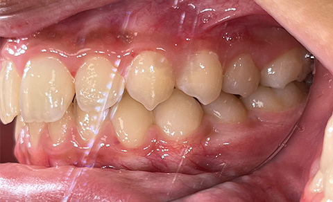
症例
Warning: Undefined array key 0 in /home/t836/sora-dental.jp/public_html/ortho/wp-includes/class-wp-query.php on line 3733
| 治療内容 | |
|---|---|
| 主訴 | |
| 治療詳細 | |
| 治療期間 | |
| 治療費 | |
| リスク・副作用 |
※表示金額は全て税込みです。
費用
料金表
| 矯正相談 | 無料 | |
|---|---|---|
| 検査・診断 | 11,000円 | |
| 0期治療 ※MFT、プレオルソ | 110,000円 | |
| Ⅰ期治療 ※ワイヤー矯正、インビザライン・ファースト | 385,000円~660,000円 | |
| Ⅱ期治療 | 770,000円~880,000円 | |
| 毎月の管理料 | 4,400円/月 | |
※表示金額は全て税込みです
お支払方法
当院は、下記のお支払方法に
対応しております。
- 現金・銀行振込
- クレジット
カード - VISA/Mastercard
- アプラス
デンタルローン - (自費治療のみ
対応)
医療費控除について
1年間(1月1日~12月31日)に10万円以上の医療費を支払った場合は、一定の所得控除が受けられる医療費控除の対象です。ご自身の支払いに限らず、生計を共にするご家族が支払った医療費との合算申請も可能です。詳しくは国税庁のホームページをご覧ください。
注意点・リスク・副作用
・治療の初期段階では痛みや不快感が生じやすくなりますが、1週間前後で慣れます。
・歯の動き方には個人差があるため、予想された治療期間より延長する場合があります。
・装置の使用状況や定期的な通院など、患者様の協力程度で治療の結果や期間に影響します。
・矯正装置装着時は、歯みがきがしにくくなるためむし歯や歯周病のリスクが高まります。
・歯を動かすことで歯根が吸収して短くなったり、歯ぐきが下がったりすることがあります。
・まれに歯が骨と癒着していて歯が動かなくなったり、歯の神経が障害を受けたりすることがあります。
・装置を外す時に、歯の表面に小さな亀裂が入る可能性や、補綴物の一部が破損する可能性があります。
・装置が外れた後に、保定装置を使用しないと後戻りが生じる可能性が高くなります。
・矯正治療は一度始めると元の状態に戻すことは難しくなります。