症例紹介
3~5歳の症例
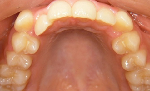
CASE 01
| 治療内容 | プレオルソ(反対咬合) |
|---|---|
| 主訴 | 成長とともに受け口が悪化している気がする |
| 治療詳細 | プレオルソを使用し、顎の成長をコントロールしながら受け口の改善を目指します。定期的に経過をチェックし、噛み合わせの変化を確認します。成長とともに改善が見られない場合や症状が悪化する場合は、追加の精密検査を行い、必要に応じて次の矯正治療へ移行します。 |
| 治療期間 | 動的期間5ヵ月 |
| 治療費 | 110,000円 |
| リスク・副作用 | ・歯の動き方には個人差があるため、予想された治療期間より延長する場合があります。 |
※表示金額は全て税込みです。
6~8歳の症例
CASE 01
| 治療内容 | ポーター,ワイヤー矯正(予定) |
|---|---|
| 主訴 | 歯がガタガタに生えていて、並ぶスペースがない |
| 治療詳細 | 患者様は、歯のガタガタと並ぶスペースの不足を主訴として来院されました。治療として、ポーターを用いて上顎を拡大し、歯の生えるスペースを確保しました。特に2番の歯が口蓋側に生えており、反対咬合を伴っていたため、前方へ押し出して改善しました。今後は前歯の歯根の状態を確認してワイヤー矯正へ移行します。 |
| 治療期間 | 動的期間10ヵ月 |
| 治療費 | 385,000円 |
| リスク・副作用 | ・歯の動き方には個人差があるため、予想された治療期間より延長する場合があります。 |
※表示金額は全て税込みです。
9~12歳の症例
CASE 01
| 治療内容 | インビザライン |
|---|---|
| 主訴 | 出っ歯で滑舌も気になる |
| 治療詳細 | 患者様は歯並びの影響で発音や滑舌の悪さを気にされており、インビザラインを用いた矯正治療を開始しました。治療の初期段階では、ポーターを使用して上顎を拡大し、前歯の萌出スペースを確保しました。下顎の前歯は舌側からの萌出が見られて一時的にワイヤーで唇側へ移動させました。その後、インビザラインを用いて歯列を整え、正しい舌の位置を確保するためにMFT(筋機能療法)を併用しています。治療経過を確認しながら、必要に応じてアライナーの調整を行い、発音の改善を図っていきます |
| 治療期間 | 動的期間3年、保定期間1年 |
| 治療費 | 495,000円 |
| リスク・副作用 | ・歯の動き方には個人差があるため、予想された治療期間より延長する場合があります。 |
※表示金額は全て税込みです。
マウスピース矯正の症例
CASE 01
| 治療内容 | インビザライン(抜歯) |
|---|---|
| 主訴 | 歯のガタつきを治したい |
| 治療詳細 | 歯並びと噛み合わせを整えるため、抜歯とインビザラインを組み合わせた矯正を行いました。まず、歯のスペースを確保するために抜歯を実施。その後、マウスピースを使って歯を計画的に動かし、噛み合わせを改善しました。インプラントアンカーを併用しながら、細かい調整を行い、自然でバランスの取れた歯並びに仕上げました。治療後はリテーナーを使用し、安定した歯並びを維持していきます。 |
| 治療期間 | 動的期間2年11ヵ月、保定期間1年4ヵ月 |
| 治療費 | 770,000円 |
| リスク・副作用 | ・歯の動き方には個人差があるため、予想された治療期間より延長する場合があります。 |
※表示金額は全て税込みです。
ワイヤー矯正の症例
CASE 01
| 治療内容 | ワイヤー矯正 |
|---|---|
| 主訴 | 全体的に歯並びをしっかり整えたい |
| 治療詳細 | 治療計画として、ワイヤー矯正を用いて全体的に歯列を整えます。歯のねじれや重なりを改善し、適切な噛み合わせを確立することを目指します。治療の進行に応じて、必要に応じた微調整を行いながら歯並びを整えていきます。現在はリベラリテーナーに移行し、後戻りを防ぎながら歯列の安定を図っています。 |
| 治療期間 | 動的期間1年10ヵ月、保定期間2年5ヵ月 |
| 治療費 | 770,000円 |
| リスク・副作用 | ・歯の動き方には個人差があるため、予想された治療期間より延長する場合があります。 |
※表示金額は全て税込みです。
部分矯正の症例
CASE 01
| 治療内容 | インビザライン・部分矯正 |
|---|---|
| 主訴 | 前歯の隙間が気になる |
| 治療詳細 | 前歯の隙間を改善するためにインビザラインで矯正を行いました。マウスピースを使って歯を徐々に動かし、隙間を閉じながら噛み合わせも整えました。治療中は定期的にチェックを行い、必要に応じてアタッチメントを装着し、歯の移動をサポートしました。治療完了後はリテーナーを使用し、歯並びを安定させます。定期検診を受けながら、美しい歯並びを維持していきます。 |
| 治療期間 | 動的期間1年2ヵ月 、保定期間1年11ヵ月 |
| 治療費 | 550,000円 |
| リスク・副作用 | ・歯の動き方には個人差があるため、予想された治療期間より延長する場合があります。 |
※表示金額は全て税込みです。

































































